Esthetische & Restauratieve tandheelkunde
Esthetische & Restauratieve tandheelkunde is altijd met elkaar verbonden. Er kan een wens zijn voor het verfraaien van één voortand met composiet vanwege een esthetisch probleem of een wens voor een totaal restauratief plan waarbij complexe problemen opgelost moeten worden.Voor beide categorieën geldt dat een esthetische behandeling ook biologisch verantwoord en duurzaam functioneel moet zijn en een restauratieve behandeling ook esthetisch fraai moet zijn.
In de mond kunnen complexe situaties ontstaan, dit kan veroorzaakt worden door::
- Onnatuurlijke gebitsslijtage door tanderosie en/of knarsen.
- Het ontbreken van een goede glazuurlaag op tanden en/of kiezen.
- Tanden en kiezen die nooit aangelegd zijn.
- Het ontbreken van meerdere tanden en/of kiezen.
Voor lastige gebitsslijtage problematiek en/of een complexe restauratieve vraagstukken houd ik regelmatig spreekuren, afhankelijk van de casus ook samen met een orthodontist. Tijdens dit spreekuur treft u ons beiden, zodat we gezamenlijk een oplossing kunnen zoeken voor uw probleem.
Hieronder geeft ik u een korte uitleg over bovenstaande onderwerpen:
Gebitsslijtage door tanderosie en/of knarsen
Door regelmatig sterke zuuraanvallen op het gebit lossen de glazuurlaag en het onderliggende tandbeen op (tanderosie), waardoor er korte tanden en/of kiezen overblijven. Deze afslijting kan verergerd worden door tandenknarsen en aantasting van cariës, tandbederf. Hierdoor brokkelt de tand of kies langzaam af, waardoor functieverlies optreedt en de tand of kies esthetisch niet fraaier wordt.
Hieronder toon ik u een aantal voorbeelden wat tanderosie en/of knarsen kan aanrichten:
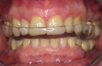
Voor de behandeling
Gebitsslijtage door knarsen en tanderosie door het drinken van grote hoeveelheden cola. De tanden zijn erg kort geworden en verkleurd.
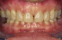
Na de behandeling met composiet
Na vele uren in de stoel zijn haar zes voortanden en vier kleine kiezen rondom ingepakt met composiet. Hierdoor zijn haar tanden ook weer langer geworden.

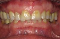
Voor de behandeling
Gebitsslijtage door een eetstoornis op jeugdige leeftijd. Door het vele spugen is er heel vaak maagzuur langs de tanden en kiezen gekomen waardoor bijna de gehele binnenzijde van de tanden is opgelost. Doordat de tanden zo dun zijn geworden, breken er gemakkelijk stukjes vanaf.

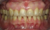
Na de behandeling met composiet
Door het composiet is er weer een dikke, stevige laag ontstaan aan de binnenzijde die niet snel zal afbreken. De tanden zijn hierdoor ook weer verlengd.
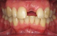
Vervangkunst van ontbrekende tanden en/of kiezen
Soms moet het gebit of een deel van een tand of kies worden vervangen door kunst, omdat het verloren is gegaan of door de natuur niet compleet ontwikkeld was.
Hieronder toon ik u een voorbeeld:
Voor de behandeling
Het ontbreken van een voortand door een ongeval. Door het ongeval zijn de “buur” tanden ook beschadigd.
Na de behandeling
Door het vervaardigen van een volledig porseleinen brug en 2 losse kronen is het probleem functioneel en esthetisch opgelost.
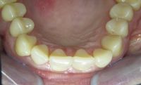
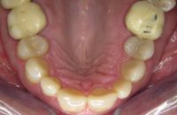
We hebben ook te maken met een combinatie van ontbrekende kiezen en gebitsslijtage:

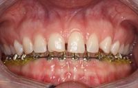
Voor de behandeling
Gebitsslijtage voornamelijk door knarsen. Aan de binnenkant zijn de tanden erg dun geworden en daardoor ook afgebroken. Door de diepe beet zijn de kiezen in onderkaak helemaal afgebroken.

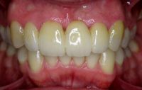
Na de behandeling
De zes voortanden en twee kleine kiezen in de bovenkaak zijn opgebouwd met composiet. Hierdoor zijn ze verlengd en volledig ingepakt met composiet, zodat ze niet meer zo snel kunnen breken.
De afgebroken kies in de onderkaak is verwijderd en in het hiaat zijn twee implantaten geplaatst met kronen.

Uiteindelijk heeft meneer ook een beschermende nightguard gekregen om ervoor te zorgen dat het knarsen geen schade kan geven aan zijn gebit.
Esthetische behandeling met composiet
Voor de behandeling
De wens om de diastemen (de spleetjes) tussen de tanden gesloten te hebben.
Na de behandeling
Met composiet zijn de diastemen gesloten.
